*Correspondence to: Dr. Juan A Morales-Torres, Faculty, Doctors Hospital Emergency Medicine Residency, USA
Received: Oct 09, 2025; Accepted: Oct 24, 2025; Published: Oct 31, 2025
Citation: Salomon ASD, Morales-Torres JA (2025) Unveiling the Unexpected: Mediastinal Mass Unmasked by Marijuana-Induced Chest Pain. J Anatomical Variation and Clinical Case Report 3:121. DOI: https://doi.org/10.61309/javccr.1000121
Copyright: ©2025 Salomon ASD. This is an open-access article distributed under the terms of the Creative Commons Attribution License, which permits unrestricted use, distribution, and reproduction in any medium, provided the original author and source are credited.
ABSTRACT
Teratomas are a rare occurrence seen in 1 in 4000 live births with only 18% of these occurring within the mediastinum. Their clinical presentation is nonspecific and related to compression of surrounding structures. These tumors are typically slow growing and are diagnosed incidentally. However, in rare cases they have the potential to grow rapidly and progress to cause cardiopulmonary compromise and death, making this an important differential to consider when approaching young patients with chest pain and shortness of breath. In this paper we present a case of a 16-year-old female who presented to the emergency department with chest pain and shortness of breath 30 minutes after smoking marijuana, who was found to have a mediastinal mass on X-ray and CT imaging. On histopathologic examination the mass was confirmed to be a mature mediastinal cystic teratoma. The mass was drained and surgically excised leading to resolution of the patient’s symptoms.
Keywords: Chest pain; Mediastinal mass; Teratoma

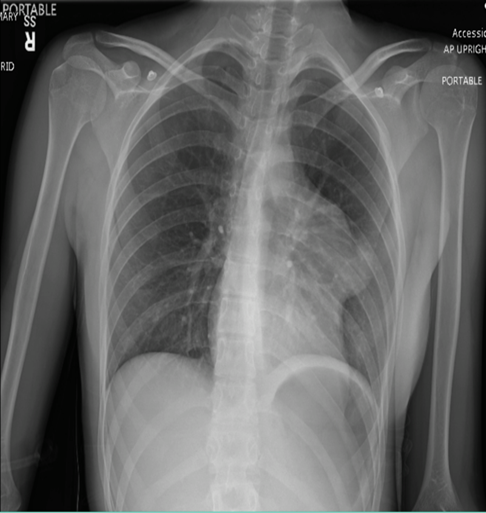
Figure 1: Chest X-ray. Left mediastinal 6.1 cm lobulated opacity, possibly a pericardial cyst or other mass.
