*Correspondence to: Dr. Macario Llamas, Associate Professor, Anatomy and Clinical Medicine, Kirk Kerkorian School of Medicine at UNLV, USA
Received: Jul 22, 2025; Accepted: Aug 08, 2025; Published: Aug 14, 2025
Citation: Yeremian S, Wayne J, Flores J, Tango BM, Llamas M (2025) Solid Pseudopapillary Neoplasm of the Pancreas in a Competitive Athlete: A Multimodal Diagnostic Case Report. J Anatomical Variation and Clinical Case Report 3:120.
DOI: https://doi.org/10.61309/javccr.1000120
Copyright: ©2025 Yeremian S. This is an open-access article distributed under the terms of the Creative Commons Attribution License, which permits unrestricted use, distribution, and reproduction in any medium, provided the original author and source are credited.
ABSTRACT
Solid pseudopapillary neoplasm (SPN) is a rare, low-grade malignant tumor of the pancreas, most commonly affecting young women. We present the case of a 23-year-old competitive runner who was found to have a pancreatic tail mass after noticing left-sided abdominal firmness during training. Multimodal imaging including ultrasound, contrast-enhanced CT, MRI, PET/CT, and endoscopic ultrasound-guided fine-needle biopsy suggested the diagnosis of SPN. This case underscores the importance of evaluating subtle clinical findings in athletic individuals and illustrates the value of an integrated radiologic approach in characterizing pancreatic neoplasms.
Keywords: Solid pseudopapillary neoplasm; Frantz tumor: Pancreatic tumor

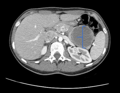
Figure 1: This axial contrast-enhanced abdominal CT shows a well-circumscribed mass located in the tail of the pancreas.
